Miben tér el a hagyományos ultrahangos fogkő eltávolítás a biofilmes professzionális fogkőleszedéstől?
A csúcstechnológiás, svájci EMS Irányított Biofilm Terápia abban tér el a hagyományos fogkőeltávolítástól, hogy több különböző kezelést foglal magába. Eltávolítja a fogkövet, polírozza a fogakat, akár világosabb fogszínt is eredményez. A hagyományos eljáráshoz képest jóval kíméletesebb, gyengédebb beavatkozást tesz lehetővé, illetve 100%-os lepedékmentességet biztosít. Mivel a kezelés kíméletes, így gyerekeknek is ajánlott, alkalmas a tejfogak és vegyes fogazat kezelésére is.
A svájci technológia miatt kíméletesebb az ultrahangos depurátorfej, csak akkor lép működésbe, amikor fogkővel találkozik, és mindig csak a szükséges erősséggel dolgozik.
A svájci csúcstechnológiás Biofilm terápia, a fogkő eltávolítás leghatékonyabb és legkíméletesebb eszköze napjainkban.
A kezelés része a dentálhigiéniai tanácsadás, amikor a páciens felteheti kérdéseit, illetve mi is felhívjuk a figyelemét az esetleges szájápolás hibákra, hiányosságokra.
A kezelés költsége 45.000 Ft, amely magába foglalja a teljes Biofilm terápiát, ebben benne van a dentálhigiéniai tanácsadás és igény szerint a megfelelő elektromos fogkefe kiválasztása és használatának bemutatása.
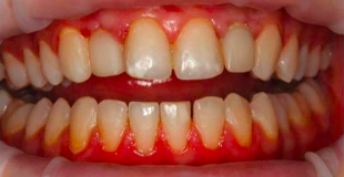
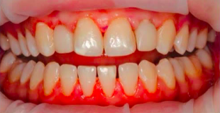
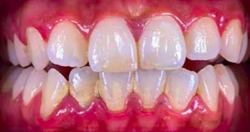
A fogkő és a biofilm réteg, majd a polírozás következményeként a páciens visszanyerheti eredeti fogszínét.
Akár egy wellness központban járna, csak itt a fogai fürdőznek.
Biofilm EMS
Rendelőkben a hagyományos, ultrangos fogkő-eltávolítás mellett, a korszerű, svájci csúcstechnológiás Biofilm EMS terápiával végzi dentálhigiénikusunk a fogkő-eltávolítást.
Az eljárás egy olyan összetett, fájdalommentes módszer, amely során nem csak a fogkövet, hanem a szabad szemmel nem látható biofilm, más néven dentális plakk réteget is eltávolítjuk.
Ez a nem kívánatos képződmény egyaránt jelentkezik fogakon, implantátumokon, fogpótláson, fogszabályzón, elmeszedéséből pedig kialakul a fogkő.


A kezelés menete
A EMS Biofilm terápia egy olyan komplex szolgáltatás, amelynek segítségével nem csak professzionális tisztítást és fogkőeltávolítást kapunk, hanem fogsorunk a dentális plakktól felszabadítva eredeti fényében tündökölhet. Ez a jelenleg elérhető leghatékonyabb, legkíméletesebb szájhigiénés eljárás.











